News
Docs remove bullets from Mahajan's body
Police have sent Mahajan's blood-soaked clothes for chemical analysis and will send the bullets to the ballistic experts.
Delhi girl gangraped by minors
A minor girl was allegedly gangraped by five people in North Delhi. Four boys, all minors, have been arrested in this connection.
Sonia opens campaign, attacks opposition
Sonia asserts that she resigned to uphold high values in politics.
Mahajan's battle for life
Mahajan breathed his last on Wednesday afternoon. Here's a look at his battle for life at the Hinduja Hospital.
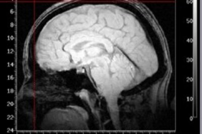
Imaging techniques may spot dementia
Study identifies structural and metabolic brain changes that predict dementia on normal older adults.
Fuel price hike may push air fares
Jet Airways, Spice Jet and other airlines have already announced their decision to increase the levels of fuel surcharge.
Mahajan gets acute respiratory distress
Mahajan is showing signs of an acute respiratory distress syndrome, a complication in patients with multiple trauma.
Nepal PM begins talks on Cabinet
Nepal's new Prime Minister Girija Prasad Koirala conferred with top political leaders on choosing a Cabinet.
Chinese tycoon jailed for stock scandal
The executive behind one of China's most spectacular corporate scandals has been jailed for eight and a half years.
Australia
Coming back to the biggest stage of World football after 32 years, Australia will be hoping for a better performance than the one they had dished out in the 1974 edition.
Venue Delhi: 10,000 knot out!
Akshaya Trithiya is witnessing thousands of marriages in Delhi and couples rush to tie the knot on this auspicious day.
Bob Dylan performs at Jazz Fest
New Orleans Jazz and Heritage Festival starts with Bob Dylan, Dr John and some 4,000 musicians promising entertainment.
New chip to shake up video games
A Silicon Valley start-up hopes to introduce a lot of bounce, rattle and roll into the video game industry with a new microchip.
Media scrutiny bothers Mclaren
Steve McClaren has faced an early example of the media scrutiny that persuaded Scolari he no longer wanted the job.
One third Net domains vulnerable to attack
Phishing gangs could be re-directing traffic from well-known sites so they can grab key login and personal details.
GAIL records 22 pc fall in net profit
State-owned gas utility GAIL (India)Ltd on Saturday reported a 22 per cent dip in its net profit at Rs 409 crore.